当院の“精密根管治療”は
何をするのか
当院の“精密根管治療”は
何をするのか
精密根管治療では、「必要最小限の歯を削る量で、歯の中の細菌を最小限にする」ことを目的にしています。そのために以下のような多くのステップを行っていきます。
治療開始前に、以下の検査を必ず行います。
医療面接(問診)
症状の程度・現在までの経過・過去の治療歴・全身疾患の確認
口腔内診査
痛みの部位・歯ぐきの腫れ等の有無・歯周組織検査・歯髄診査(神経が生きているかどうか)
X線画像撮影(デンタルX線画像+歯科用CT画像)
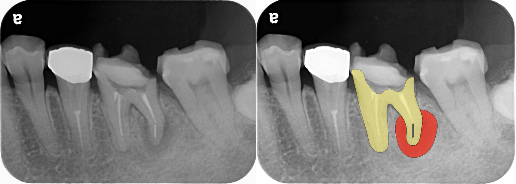
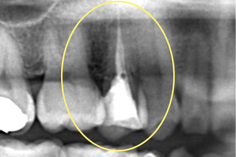
虫歯の深さ・歯の残っている量・根尖部透過像(レントゲンに映る膿の影)の有無と大きさ・根管の数と形


上記診査をもとに、治療する歯を確定し、治療の方法の選択肢を提示し、患者さんと相談の上治療方針を決定します。また当院で精密根管治療を行う場合は、必ず事前に治療内容・そのリスク等についての説明を同意書を用いて行い、患者さんの同意をいただいた上で治療を開始します。
根管治療を行う際は、基本的に入っている詰め物や被せ物は一旦全て取り除いてから行います。被せ物(特に金属の被せ物)の下はX線画像では映らない虫歯が残っている可能性があり、それが原因で歯の中に細菌が入ってきている可能性があるので、それらを取り除く必要があります。

レントゲンでは明らかな虫歯が確認できないですが

はずしてみると、中は虫歯(薬液で青く染まる)で汚染されていて、根管の中まで感染していました。そしてそのう蝕を全て取り除き、根管に器具が入れられる必要最小限の穴を開けていきます(髄腔開拡)。
この段階で、以下のチェックを必ず行います。
歯の残っている量の確認
歯の残っている量が少ない場合は根管治療ができてもその後の被せ物が適切にできない場合があります。どのくらい長持ちしそうか検討をつけてご説明し、根管治療を継続するか患者さんとご相談します。
歯根(歯の根っこ)が破折(歯が割れること)していないかの確認
噛む力が強かったり、何回も根管治療を行っている場合は、歯根が破折していることもあります。この確認は肉眼では難しいため、歯科用顕微鏡を用いて丁寧に確認します。軽度のヒビの場合は保存する場合もありますが、完全に破折している場合は抜歯になる可能性が高いです。
根管治療において、非常に重要なステップがラバーダム防湿です。前項(根管治療が失敗する理由)のところでもお話ししましたが、無菌的処置を行う上では必須のステップなので当院での精密根管治療時には必ず使用します。また歯の残っている量が少ない場合は人工的な壁を立てて、ラバーダムが装着しやすいように、また隙間から細菌が入ってこないように補強する処置を事前に行う場合もあります(隔壁築造)。
根管形成とは、感染した細い根管を洗浄しやすいように削って広げる(トンネルの開通工事のよう)ステップです。根管形成の目的は以下の2つです。
参考文献
根管内に侵入した細菌は根管の壁の中(象牙細管)に侵入していると言われています。従ってそれを機械的に削ることによって細菌の数を減らします。効率的な根管形成を行うために、当院の精密根管治療ではニッケルチタン製ロータリーファイル(NiTiファイル)を使用しています。NiTiファイルは従来から使用されているステンレススチール製の器具と比較して、切削効率が高く、根管内で器具が破折するリスクが低いと報告されています。
しかし、天然の根管は細く長く、複雑な形をしており、根管内全体を完全に器具で清掃することはできません。また過剰な根管形成は歯質の脆弱化を招き、歯の耐久性を低下させます。そこで、洗浄液が根管全体に行き届きやすいように根管の形を整えることも根管形成の重要な役割になります。根管の入り口は必要最小限の大きさに広げ、根尖(根の先)にいくほど先細りになるように、元々の細い根管の形態を壊さないように削って広げます。すでに根管治療を受けた歯の場合は根管の中に詰めものが入っており、根管の清掃ができないため、まずは詰め物を丁寧に全て取り除いてから根管形成を行います。


次亜塩素酸ナトリウム等の洗浄液を用いて根管内の細菌や削りかす、歯髄の残りを化学的に減らします。洗浄で用いる針は、なるべく根管の深いところまで届くように非常に細いものを、使い捨てで使用しています。また洗浄液の活性を上げるために、超音波装置等を用いて根管内全体をくまなく洗浄できるようにします。根管洗浄で主に使用する次亜塩素酸ナトリウムは非常に消毒作用が強いので、使用するときは必ずラバーダムを装着した状態で、常にバキュームで吸引しながら洗浄します。万が一治療中に苦い味や強い刺激を感じた場合はすぐに手を挙げて知らせてください。
根管形成および根管洗浄できれいにした根管を、ガッタパーチャ、バイオセラミックシーラー、MTAセメント等の生体親和性に優れた材料を用いて、再感染しないように緊密に詰めて封鎖します。従来の根管充填材は、根管内で固まったあとに、経年的に収縮したり水に溶けて流されたりしてしまいます。その結果、根管内が疎になり、細菌感染しやすくなってしまうという欠点がありました。最新のバイオセラミックシーラーの登場により、この欠点がカバーされるようになりました。バイオセラミックシーラーは最初液体状で、硬化すると固体にかわります。根管内で硬化した際に膨張する性質があり、それにより隅々まで封鎖することができます。かつ根管壁と分子レベルで結合するため、緊密に密封することができます。しかも硬化後も高いpH状態を保つことができ、抗菌性があり、細菌の再感染を防止することができます。万が一根尖孔外(根の先の外)に溢れてしまっても、体液によって分解されるため問題ないとされています。身体に害がなく、生体親和性に優れた薬剤を使っております。根管充填前は充填前のガッタパーチャを次亜塩素酸に浸漬してから使用するなど、無菌的な状態にします。身体にずっと入れておくものなので、根管充填前は細心の注意を払います。

また、一度根管治療を受けたことがある歯は、しばしば誤って歯に穴があいて骨と貫通してしまっている場合があります。穴のあいた部分のまわりの骨は炎症を起こし、骨が溶けてしまいます。必要に応じて穴を、生体親和性にすぐれたMTAセメントやバイオセラミックで充填します。穴を緊密に封鎖することで、炎症が治り、骨が再生します。とても繊細な技術が必要になります。これによって、今までは抜歯と言われていた穴のあいた歯も、条件によっては残せるようになりました。
根管治療期間中は、唾液などで治療中の根管が汚染されないように、仮封(仮の蓋のこと)を行います。仮封の仕方には、一重仮封と二重仮封があります。一重仮封は、単一の仮封材を詰めます。簡便で手間がかからないですが、時間とともに容易に崩れたり厚みが減っていきます。その結果治療期間中に細菌感染を許してしまうかもしれません。クリニックの大多数が一重仮封で行っているかもしれません。二重仮封は、通常の仮封材の上にもう一層別の仮封する材料で覆うやり方です。上の層の仮封剤は歯質にある程度接着し、強度もあるため、より強固に封鎖し治療期間中の細菌感染から守ることができます。当院では二重仮封を必ず行っています。
根管治療後は接着修復治療を行い、細菌感染し得る経路を断ちます。実は、精密根管治療は終わったらそれで安心ではありません。接着修復治療で密封されてはじめて精密根管治療は完結するともいえます。根管治療後の被せもの治療が歯と精密に接着していないと、根管治療したところがまた細菌感染してしまいます。根管治療後の上の構造が接着していないと、唾液の中の細菌が隙間から侵入して、歯根の先まで感染します。当院は、“接着修復治療”と“精密根管治療”の二本立てが強いクリニックとして元々始まりました。この二つは、“歯科保存治療”と呼ばれています。“精密根管治療”の質が低く、“接着修復治療”だけ質が良くても、中身はボロボロで何も意味がないことは言うまでもありません。“精密根管治療”の質が良いが、“接着修復治療”の質が悪い場合、せっかくの根管治療したところが感染してしまい、これも意味のない治療になってしまいます。“接着修復治療”と“精密根管治療”は切っても切り離せない存在で、この二つがそろってはじめて、歯を長期で残すことができるのです。
参考文献
当院では、コアを築造するときもラバーダムは必ず行い、細菌感染から歯を守ります。コアから最終的な被せものを装着するときも、エビデンスベースドで現時点で最も接着し長期予後が良いと考えられる接着の方法のみを行います。
